0%
メニュー
総合案内
アクセス
アクセス
ご予約
ご予約
Text Animation

hypodontia・impacted tooth
背景画像
背景画像

歯がない・生えてこない

生えてくるはずの歯が生えてこない場合、以下のことが考えられます。
・生まれつき歯の数が足りない”先天欠如歯”であること
・歯はあるが、歯ぐきや骨に埋まっている状態で生えてこない”埋伏歯”であること

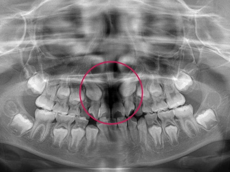
先天欠如歯や埋伏歯は、見た目だけでは正確な判断はできません。必ずレントゲン撮影を行い、歯の本数と位置を確認する必要があります。上記の内容に当てはまったり、気になることがあれば、一度当院へお気軽にご相談ください。
congenitald-efects1

どのように治療するの?

治療方法は、歯並びや咬み合わせの状態によって異なります。下記の説明内容は、ケースによって異なる場合があるため、参考程度にご覧ください。

どうやって治療するの?

生まれつき歯の数が足りない"先天欠如歯"の場合

治療方法は大きく分けて2つあります。

乳歯が残っていて永久歯が無い場合には、乳歯の予後によって治療を行うタイミングが異なります。
先天欠如歯の治療は、足りない歯の本数や部位、歯並びや咬み合わせの状態や患者さまのご希望等を考慮してご提案させていただきます。

6本以上の先天欠如歯で歯が足らない場合は保険適用となります

先天欠如歯の症状

歯ぐきや骨の中に埋まって生えてこない埋伏歯の場合

歯ぐきや骨の中に埋まっている歯を外科的に露出させ、矯正治療で引っ張り出すことがあります。
Before
After

こんな埋伏歯に注意!

埋伏歯に多いのが、糸切り歯(犬歯)が生えてこないケースです。埋伏している犬歯の方向が、横を向いていることで、骨の中で他の歯の根っこと当たってしまっていることがあります。そのように歯に当たっていると、周りの歯の根っこが吸収して短くなってしまうことがあります。他の歯への影響が考えられる場合には、なるべく早く治療を行う必要があります。

当院では、矯正治療で通院中の患者さまを対象に、虫歯や歯周病などの一般歯科診療も行っております。
現在、一般歯科のみでの新規受付は行っておりませんので、あらかじめご了承ください。

JR草津駅より徒歩3分

〒525-0032
滋賀県草津市大路1-14-1伽羅コート

草津壱番館B1

※最終受付時間:18:20

【休診日】水曜日・日曜/祝日

駐車場について

提携駐車場 (シライ駐車場、草津駅前地下駐車場)を ご利用ください。 駐輪場もございます。

駐車券をお渡ししますので、お帰りの際に受付までお申し付け下さい

お電話でのご予約

tel.
077-514-9322